MRCP ~膵臓の画像検査~
膵臓がんは進行スピードが速いだけでなく、早期がんでは症状が現れにくいため発見が遅れやすいことが知られています。
さらに膵臓がんは予後の悪いがんで、症状が出現し、発見された時にはもう手遅れということが少なくありません。
大きさ1cm以下の膵がんの5年生存率は80.4%、大きさ1-2cmの膵がんの5年生存率は50%と報告されており、早期発見が重要となります。
ただし膵臓がんは早期発見がしにくい病気です。毎年やっている超音波検査は意味ないの?と思われる方も多いと思いますが、意味がないのではなく発見しにくいのです。
では、なぜ膵臓がんが早期発見しにくいのか、主な画像検査である超音波検査・CT検査・腹部MRCP検査では、どれが膵臓がんの発見に有用であるかを中心に解説します。
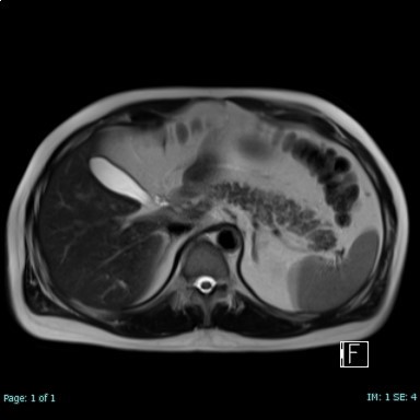
腹部MRCP検査
腹部MRCP検査のMRCPとはMagnetic Resonance Cholangiopancreatographyの略で、MRI装置を用いて胆嚢や胆管、膵管を同時に描出する検査です。
胆石、胆管結石や膵臓に関しては嚢胞性病変(IPMNなど)、膵臓の嚢胞性腫瘍の検出、膵管及び分岐膵管の拡張・狭窄・途絶、膵臓の萎縮の評価に特に優れています。
内視鏡を用いて行う逆行性胆管膵管造影(ERCP)と比較し、苦痛が少なく、また合併症もなく非侵襲的に行えますが、デメリットとしては体内金属の種類によって検査が行えない場合があります。
膵癌の診療ガイドラインでは、膵癌は膵管に影響を及ぼすことが多いことから,MRCPはその診断に有用であり1, 2)、MRCPとERCPの比較試験では,膵癌の診断における感度と特異度に有意差を認めなかったと云われています1)。
また、MRCP単独の検討においても膵癌の診断における感度は95%、特異度は82%と高く2)、MRCPはERCPと同等の診断能を有していたという報告がされています。
これらのことからも、腹部MRCP検査で膵管の形状を見ることにより、膵臓がんの有無を確認することができるため、腹部MRCP検査は画像検査の中でも膵臓のスクリーニング検査に関して有用性が非常に高いということが分かります。
所要時間
約20分ですが、検査内容により多少異なります。
検査を受ける前に
- 心臓ペースメーカーを取り付けている方は検査を受けることができません。また頭部動脈瘤のクリッピング、血管内ステントなどの金属物質が体内に留置されている方は検査を受けられないことがあります。体内に金属物質を入れている方は事前にご相談ください。
- 妊娠中の方あるいは妊娠の可能性のある方は、受けられません。
- 閉所恐怖症の方は事前にご相談ください。
- 検査前6時間以内の飲食はお控えください。
膵臓がんの予防と定期的な検査
膵臓がんにならないためには、生活習慣病がリスク因子になることも知られており、喫煙習慣がある方は禁煙をする、糖尿病にならないように努めることや肥満改善、食生活を見直す、アルコールも控えるなど生活習慣の改善に努めましょう。
膵臓がんは、最初にも述べたように、症状が出現し、発見された時にはもう手遅れということが少なくないにもかかわらず早期発見が難しい病気です。
早期発見には定期的な検査が必要であり、腹部MRCP検査など膵臓に特化した画像検査や血液検査を組み合わせて受診することが重要です。
また画像検査において危険因子が認められた場合、経過を注視し兆候を見逃さないことが大切です。
参考
1)Adamek HE, Albert J, Breer H, et al. Pancreatic cancer detection with magnetic resonance cholangiopancreatography and endoscopic retrograde cholangiopancreatography:a prospective controlled study. Lancet 2000;356(9225):190-3.(コホート)
2)Lopez Hänninen E, Amthauer H, Hosten N, et al. Prospective evaluation of pancreatic tumors:accuracy of MR imaging with MR cholangiopancreatography and MR angiography. Radiology 2002;224:34- 41.(コホート)
膵癌診療ガイドライン2019年版
お電話からのご予約














