MRIとCTの違い
画像化する原理は、MRI:磁石、CT:放射線です。
被ばくという点で考えれば、MRIの方がいいです。(被ばくしません)
(医療被ばくについて詳しく知りたい方はこちら)
空間分解能は、CTの方が優れています。(細かく見える)
濃度分解能は、MRIの方が優れています。(コントラストがよくみえる)
検査時間はCTの方が短いです。
臓器ごとで考えた方が、分かりやすいかもしれません。
頭部
-
頭部MRI T2強調画像 横断像

-
頭部MRA

MRIの方が圧倒的に優れています。脳や脳血管が造影剤を使わず観察できます。
MRIは頭部の血管、梗塞、腫瘍、脱髄疾患など殆どの頭蓋内疾患でCTより有用な為、スクリーニング検査の第一選択です。
くも膜下出血を発症した日本人の約90%は脳動脈瘤の破裂から発症するとされていますので、今までに検査のしたことがない方は脳動脈瘤の有無を検査しておくことをおすすめします。
くも膜下出血について詳しく知りたい方はこちらのページをご覧ください。
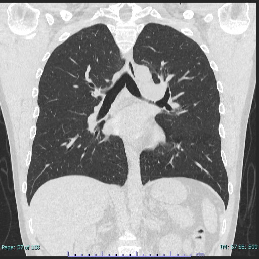
肺
-
胸部CT 横断像

-
胸部CT 冠状断像

CTの方が圧倒的に優れています。(MRIで空気は描出できません)
肺がんや肺野病変の存在、鑑別診断はMRIよりCTが優れています。
MRIの欠点は、肺野(空気)の信号強度が低く結節性、炎症性病変の検出能に限界があること、心拍によるアーチファクト(ノイズ)が大きいこと、石灰化の存在診断が困難なこと、空間分解能がCTに劣ることがあげられます。
また、肺がんは胸部X線検査を行っているから大丈夫と思っている方は注意が必要です。
胸部X線検査は、肋骨や横隔膜に重なっている部分や非常に小さな肺がんは見つからず、肺の60~70%しか見えていないとされています。
CT検査の場合は身体を輪切りにした状態で撮影をしますので、肺が心臓や胸椎、横隔膜によって見えづらくなってしまうといったことがなく、小さな病変も描出できますので、より精密な検査を行うことができます。
健診や人間ドックの胸部CTの目的は、主に肺がんや肺野病変の有無を検査することが重要となりますので、CT検査をおすすめします。
肺がんについて詳しく知りたい方はこちらのページをご覧ください。
腹部
-
腹部MRI T2強調画像 横断像

-
腹部MRI 拡散強調像 横断像

-
腹部CT 横断像

-
MRCP

MRIとCTは、ほぼ同等です。(MRIでは拡散強調画像で癌が発見しやすいです)
CTは検査時間が短く、MRIよりも細かく描出できるが、コントラストがMRIより劣る。
石灰化(胆石や腎結石など)はCTで描出が可能(MRIでは見えない場合がある)
MRIは検査時間が長く、CTより細かく描出できないが、コントラストがCTより優れており、腫瘍・腫瘤の描出が可能(CTでは見えない場合がある)
胆道系(肝内胆管、総胆管、主膵管)は胆嚢の腫瘍や膵臓の腫瘍を見つけやすいMRCPがおススメです
子宮や卵巣、前立腺など骨盤領域
-
骨盤部MRI 男性

-
骨盤部MRI 女性

MRIの方が優れています。
男性の前立腺、女性の骨盤部検査の第一選択肢はMRI検査です。
MRIは濃度分解能に優れており、CTでは困難な正常解剖の把握や腫瘍(前立腺・膀胱・子宮・卵巣・直腸など)、炎症、リンパ節病変などの疾患の鑑別が可能で、腹部の動きの少ない骨盤部の検査には適しています。
お電話からのご予約













